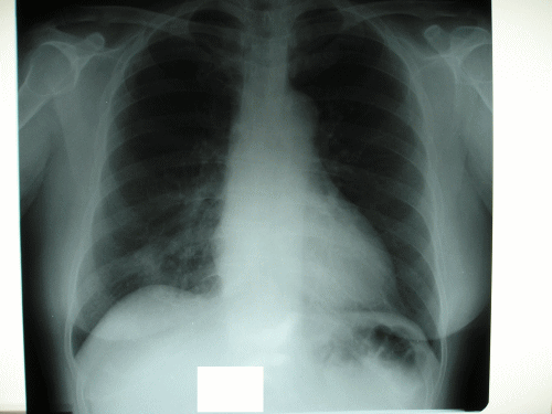
右 S10 の肺胞上皮癌。
無症状で 検診にて 発見。
無事に 下葉切除 終了し
術後診断にて Stage 1A
pT1N0M0 とされる。