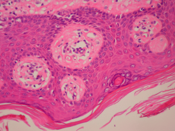
超高齢者の大腿と上腕にできていた。直径5cm。盛り上がりは5mmぐらいあり 表面はかさぶた様になっていた。