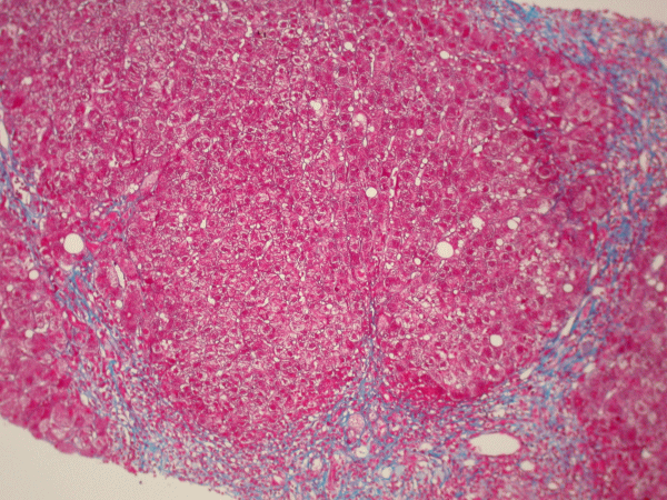
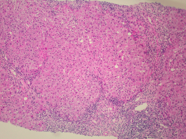
肝臓の繊維化が進んでいたことも分かる。
60歳 女性。   GOT GPT が誘因もなく 徐々に
増加。 肝生検(左画像)にて 小円形細胞の 進出を
認め スコアリングより 断定する。ステロイドの服用にて
 GOT GPT は著明に改善した。